在临床实践中,常常会遇到癌症患者在身体其他部位发现与原来的癌症完全不同的新肿瘤的现象,这种情况通常称为多原发癌(Cancer of Multiple Primaries, CMP),是指同一患者的同一器官或多个器官同时或先后发生2种或2种以上的病理类型完全不同的恶性肿瘤。国际顶级肿瘤期刊《美国医学会杂志肿瘤学(JAMA Oncology)》的数据显示,65岁以上的老年癌症患者中,二次患癌的概率为25.2%,而在年轻患者中,这种几率则是11%。
(1)基因因素,由某种诱因刺激而导致的抑癌基因失活或原癌基因激活,最终都可能导致肿瘤发生。抑癌基因突变的肿瘤患者,其患肿瘤的几率远高于正常人,容易导致多原发肿瘤的出现。(2)不良的生活方式,不健康的生活方式本来就是诱发癌症的重要风险因素,抽烟、酗酒等生活方式都已经被研究证明与多原发癌的发生相关。
在临床工作中,由于症状不典型、检查技术受限、检查不全面等多方面原因,容易发生只诊断1种原发癌,而忽视其它多原发癌的情况。PET/CT全身扫描能够将体内存在的代谢异常病灶完整的展示出来,就好比“点亮”一般,代谢异常区暴露无遗,很容易的就能被观察出来,给诊断带来线索,非常有利于全面检出多种肿瘤。
病例1,PET/CT示右肺下叶、贲门代谢异常,符合双原发癌;之后患者行CT引导下肺部病变穿刺,病理证实原发肺腺癌,行胃镜下贲门病变活检,病理证实原发贲门腺癌。
病例2,PET/CT示左肺下叶、直肠代谢异常,符合双原发癌;之后患者行支气管镜下活检,病理证实原发肺鳞癌;行肠镜下活检,病理证实为原发直肠溃疡型腺癌。

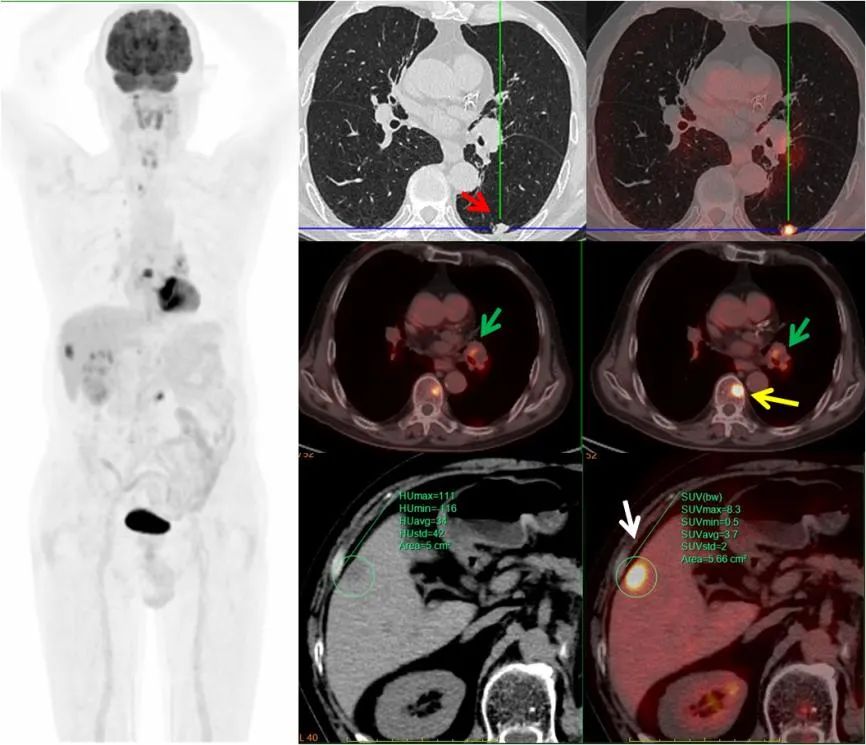
病例3,中年男性,左肾癌术后三个月,PET/CT示左肺下叶(红箭)、左肺门淋巴结(绿箭)、肝脏(白箭)、多发椎体(黄箭)高代谢灶,考虑左肺下叶原发MT可能,病理证实为小细胞神经内分泌癌。
多原发癌好发于消化系统、呼吸系统和泌尿系统,第二原发癌与第一原发癌的关系密切。相关研究表明,第一原发癌为肺癌的患者,其第二原发癌多分布在胃肠道、泌尿系统和甲状腺;第一原发癌为乳腺癌的患者,其第二原发癌多分布在结直肠、女性生殖系统、甲状腺和肺;第一原发癌为前列腺癌的患者,其第二原发癌多分布在膀胱和甲状腺;第一原发癌为膀胱癌的患者,其第二原发癌多分布在肺和前列腺;第一原发癌为宫颈癌的患者,其第二原发癌则多分布在乳腺和肺。
PET/CT是一种非侵入性的高科技医学影像检查技术,真正开启了人类医疗史上的分子影像学时代。癌症的发展过程是首先出现代谢功能的改变,然后变为病灶,引起解剖结构异常,最后患者出现临床症状。PET/CT能从分子水平上反映人体存在的生理、病理变化,非常灵敏地探测到疾病早期的代谢异常,所以能早期做出诊断,可全面、准确地发现病灶,大大提高癌症诊断的准确性和临床实用价值,可以说PET/CT就是“癌症的探测雷达”。
早期发现多原发癌并指导临床进行干预治疗,从而可以提高患者的生存期及局部控制率,改善患者预后。
打开“上善传媒”看评论